急性胰腺炎的血管侵犯发生率1.3~15.2%,分为动脉性和静脉性。动脉并发症为4%~10%【2】。
动脉出血的来源如下表,被侵蚀的动脉最常见(90%)的是脾动脉(40%),胰十二指肠动脉弓,胃十二指肠动脉(GDA)和胃左动脉(LGA);罕见被侵蚀的动脉包括结肠中动脉(Middle colic artery),肝动脉,空肠动脉和回肠动脉。
直接动脉侵蚀(direct arterial erosion) 多发生在急性胰腺炎的早期。主要是由于蛋白水解酶(proteolytic enzymes)破坏性蛋白酶(Elastase)和由于胰腺坏死,脓肿以及囊肿直接的血管壁侵蚀。另外,早期坏死组织清除术(necrosectomy)和复杂外科手术(chanllenging surgery)以后。 Post-operative upper GI and retroperitoneal bleeding:
(假性)动脉瘤(Pseudo)-aneurysm【3~5】
假性动脉瘤整体发生率在10%(急性12,慢性5)。延迟期(3-5周,或几年)发生较多。主要由于酶导致的溶解,压迫和缺血,使动脉壁变薄,向外突出(stand alone),直至形成真性动脉瘤(true aneurysm),囊腔内破裂而形成假性动脉瘤(pseudoaneurym),动脉壁侵蚀导致囊性改变(假性动脉瘤),动脉瘤腔内罕有自发形成血栓(奥曲肽?)
早期血管造影有关键作用【7~9】。血管造影发现动脉瘤和血管损伤为93%~96%,血管造影需要选择性注射直至静脉期,造影后的治疗计划取决于动脉瘤的类型和精确的血管解剖评价,动脉瘤的供血动脉等。 如果血管造影为阴性,主要由于间歇性出血(intermittent bleeding),静脉出血和弥漫性大面积毛细血管出血。有时需要经验性盲目栓塞或外科手术。栓塞的临床成功率为65%。 栓塞的目标是明确血管段阻塞(Definitive Segmental Vascular Exclusion),隔离动脉瘤腔的动脉供血【1,2,9】。 选择动脉瘤的近端和远端动脉闭塞,导丝导管通过动脉瘤腔时,需谨慎小心,避免动脉瘤破裂。必要时填塞动脉瘤防止复发和破裂,特别是多支动脉参与瘤腔供血时。 可用微弹簧栓子桥接方式(bridging method)栓塞动脉瘤。血管胶的应用仅在远端弹簧栓子放置失败或存在严重的凝血功能障碍时和弹簧栓子栓塞后再通。 病例一
病例二:慢性胰腺炎,急性腹痛和休克。动脉瘤弹簧栓子远近端栓塞
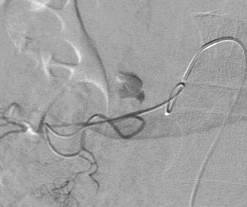
病例三,急性腹痛两周
除了使用微弹簧栓子,可否使用液体栓塞剂呢?比如NBCA+lipiodol 或Onyx胶。 液体栓塞剂的主要优点是可以通过迂曲的小血管进行一次性注射。凝血功能障碍不影响疗效,可以阻塞多侧支循环来源的出血。但需要进行流率的评估,常规情况下胶和碘油的比例是1:3-1:5之间。容易造成非靶血管的栓塞【1,10,11】。 Acute necrotizing pancreatitis:Massive upper GI bleeding and hemoperitoneum
屋漏偏逢连夜雨,船迟又遇打头风
Izaki 等人报告了NBCA 栓塞胰腺炎/胰腺切除术后的假性动脉瘤【12】。9例病人,12次操作。NBCA / lipiodol ratio 1:1-1:4 使用容量 0,1-0,9 ml (0,39)。平均随访9.5个月。
应该避免使用明胶海绵。突然的压力变化有时可以导致动脉瘤破裂。明胶海绵的末端移动可以导致组织坏死加重。明教海绵再通的情况下可以导致再出血。
其它的技术选择包括覆膜支撑架植入(flow preservation)。解剖条件必须适合类似像冠状动脉覆膜支撑架植入。Hyare 等人报告了肝动脉植入的情况【13】。Ogino 等人报告了肠系膜上动脉覆膜支撑架植入的情况【14】。 经皮凝血酶注射也是胰腺炎血管侵犯栓塞技术中的一种选择。通常是在常规入路失败或初次治疗后有复发出血风险的情况下再注射应用【9,15,16】。是一种在低血流情况下CT或超声引导下的操作。使用22G Chiba 针直接穿刺瘤囊。Szopinski 等人报告了凝血酶的肠系膜上动脉分支的注射【17】。Krueger 报告了脾动脉动脉瘤凝血酶的注射【18】。 CTA 分类【9】
透视/CT引导下经皮微弹簧栓子+胶注射也是另一项技术选择,Vanlangenhove 等人在2011年RBSR会议上报告4例胰腺炎相关动脉瘤的栓塞。
胰腺炎血管侵犯栓塞的结果:【2,8,9,21】 1. 有效率 79~94% 2. 失败原因:技术原因是因为血管过于细小,或栓塞错误的血管。 3. 死亡率,急性期栓塞比较外科手术,11% vs 45%;整体死亡率,9~27%(30天死亡率6~17%) 4. 并发症,3-6%,主要是胃肠道缺血,肝,脾梗死等 但尽管成功栓塞,也应记住【2,21】 1. 18~37%会再出血,因为动脉瘤再形成,供血动脉再通,提别是弹簧栓子栓塞的病例;其次出血由于多支动脉供血和多发动脉瘤。 2. 胰腺炎是不断进展的病理过程(ongoing process)所以应重复CT进行随访,特别是增强CT 3. 引流残余的胰腺假性囊肿,特别是大于10cm直径 结论: 1. 早期积极干预治疗可以减少死亡率,37~40% → 11~15%。 2. 弹簧栓子前后门栓塞技术应为首选 3. 技术困难情况下,考虑胶或经皮直接穿刺方法 4. 择期手术作为补充的角色 5. 病人可能同时存在门静脉高压出血 ***************************************************************88 1. Kirby JM, Vora P, Midia M, Rawlinson J. Vascular complications of pancreatitis: imaging and intervention. Cardiovasc Intervent Radiol. 2008 Sep-Oct;31(5):957-70. Epub 2007 Aug 7. 2. Sethi H, Peddu P, Prachalias A, Kane P, Karani J, Rela M, Heaton N. Selective embolization for bleeding visceral artery pseudoaneurysms in patients with pancreatitis. Hepatobiliary Pancreat Dis Int. 2010 Dec;9(6):634-8. 3. Tang LJ, Zipser S, Kang YS. Temporary spontaneous thrombosis of a splenic artery pseudoaneurysm in chronic pancreatitis during intravenous octreotide administration. J Vasc Interv Radiol. 2005 Jun;16(6):863-6. 4. De Ronde T. GUT 1993, 34:1271-3 5. Vanlangenhove P, Defreyne L, Kunnen M. Spontaneous thrombosis of a pseudoaneurysm complicating pancreatitis. Abdom Imaging. 1999 Sep-Oct;24(5):491-3. 6. Dasgupta R, Davies NJ, Williamson RC, Jackson JE. Haemosuccus pancreaticus: treatment by arterial embolization. Clin Radiol. 2002 Nov;57 (11):1021-7. 7. Frank Boudghène, Claude L’Herminé, Jean-Michel Bigot. Arterial Complications of Pancreatitis: Diagnostic and Therapeutic Aspects in 104 Cases Journal of Vascular and Interventional Radiology, Vol. 4, Issue 4, p551–558 8. Bergert H, Hinterseher I, Kersting S, Leonhardt J, Bloomenthal A, Saeger HD. Management and outcome of hemorrhage due to arterial pseudoaneurysms in pancreatitis. Surgery. 2005 Mar;137(3):323-8. 9. Nicholson AA, Patel J, McPherson S, Shaw DR, Kessel D. Endovascular treatment of visceral aneurysms associated with pancreatitis and a suggested classification with therapeutic implications. J Vasc Interv Radiol. 2006 Aug;17(8):1279-85. 10.Kirby JM, Vora P, Midia M, Rawlinson J. Vascular complications of pancreatitis: imaging and intervention. Cardiovasc Intervent Radiol. 2008 Sep-Oct;31(5):957-70. 11. Brox Jiménez A, Parra Membrives P, Díaz Gómez D, González Herráez J, Haurie Girelli J, Escalada Berta J. Transcatheter embolization of a pancreatic pseudoaneurysm using a new liquid embolic agent, ethylene vinyl alcohol copolymer (onyx). Pancreas. 2009 Jan; 38(1): 110 -2. doi: 10.1097/MPA.0b013e318170b666. 12. Izaki K1, Yamaguchi M, Kawasaki R, Okada T, Sugimura K, Sugimoto K. N-butyl cyanoacrylate embolization for pseudoaneurysms complicating pancreatitis or pancreatectomy. J Vasc Interv Radiol. 2011 Mar;22(3):302-8. 13. Hyare H, Desigan S, Brookes JA, Guiney MJ, Lees WR. Endovascular management of major arterial hemorrhage as a complication of inflammatory pancreatic disease. J Vasc Interv Radiol. 2007 May;18(5):591-6. 14. Ogino H, Banno T, Sato Y, Hara M, Shibamoto Y. Superior mesenteric artery stent-graft placement in a patient with pseudoaneurysm developing from a pancreatic pseudocyst. Cardiovasc Intervent Radiol. 2004 Jan-Feb;27(1):68-70. 15. Armstrong EM, Edwards A, Kingsnorth AN, Freeman S, Roobottom CA. Ultrasound guided thrombin injection to treat a pseudoaneurysm secondary to chronic pancreatitis.Eur J Vasc Endovasc Surg. 2003 Oct;26(4):448-9. 16. Manazer JR, Monzon JR, Dietz PA, Moglia R, Gold M. Treatment of pancreatic pseudoaneurysm with percutaneous transabdominal thrombin injection. J Vasc Surg. 2003 Sep;38(3):600-2 17. Szopiński P, Ciostek P, Pleban E, Iwanowski J, Serafin-Król M, Marianowska A, Noszczyk W. Percutaneous thrombin injection to complete SMA pseudoaneurysm exclusion after failing of endograft placement. Cardiovasc Intervent Radiol. 2005 Jul-Aug;28(4):509-14. 18. Krueger K, Zaehringer M, Lackner K. Percutaneous treatment of a splenic artery pseudoaneurysm by thrombin injection. J Vasc Interv Radiol. 2005 Jul;16(7):1023-5. 19. Montgomery ML, Harisinghani MG, Norbash AM, Gervais DA, Kaufman JA, Mueller PR. CT and fluoroscopically guided percutaneous embolization treatment of a pseudoaneurysm associated with pancreatitis. J Vasc Interv Radiol. 2005 Mar;16(3):411-5. 20. Santiagu S1, Gananadha S, Harrington TJ, Samra JS. Direct percutaneous puncture embolization of a peripancreatic pseudoaneurysm presenting with haemosuccus pancreaticus. J Med Imaging Radiat Oncol. 2008 Aug;52(4):370-3. 21. Zyromski NJ, Vieira C, Stecker M, Nakeeb A, Pitt HA, Lillemoe KD, Howard TJ.Improved outcomes in postoperative and pancreatitis-related visceral pseudoaneurysms. J Gastrointest Surg. 2007 Jan;11(1):50-5. | |||||||||||||||||||||||||||||||||||||||||||||||||||||||||||||||||||||||||||||||||||||||||||||||||||||||||||||||






























