| 下肺消融的技术 包括病人位置、消融方式的选择、入路选择等 病例1:男 66岁 甲状腺癌肺转移,建议热消融
对吗?你有什么建议?
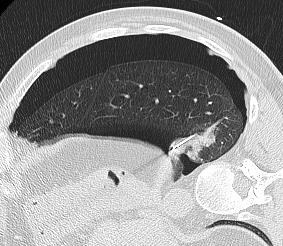
现在该怎么办?针的位置有些偏
选项 1. 加热 2. 不加热重新穿刺直到针尖位置准确 3. 加热后再定位 病例2:穿加热后再穿刺定位
接病例1:
病例1:
病例3: 下叶的结节是可移动的,变化体位后可以出现在的位置
病人治疗时的位置非常关键 - 病人的位置应该让入路更加便利 - 正确地看见病变 - 入针轨迹短 病例4:
上述同一病人
上述同一病人
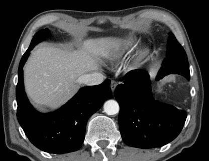
电极非常接近膈肌,会有问题吗?
3个月后,未发现问题
9个月,膈疝
|








































