胰腺动脉瘤
时间:2021-07-02 13:34来源:www.ynjr.net 作者:杨宁介入医学网
胰十二指肠动脉瘤占内脏动脉瘤2%。主要原因包括动脉硬化,腹腔动脉狭窄等疾病,后者是由于胰腺动脉弓的高血流状态(Sutton and Lawton 1973)。假性动脉瘤主要由于胰腺炎、创伤和感染(Suzuki et al. CVIR 2008;31:1082-1087)。 腹腔动脉闭塞导致胰腺血管弓
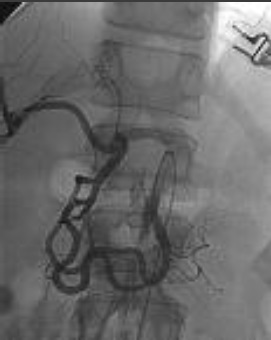
胰十二指肠动脉瘤占内脏动脉瘤2%。主要原因包括动脉硬化,腹腔动脉狭窄等疾病,后者是由于胰腺动脉弓的高血流状态(Sutton and Lawton 1973)。假性动脉瘤主要由于胰腺炎、创伤和感染(Suzuki et al. CVIR 2008;31:1082-1087)。
 |
|
腹腔动脉闭塞导致胰腺血管弓的高血流状态致使胰腺动脉明显增粗 |
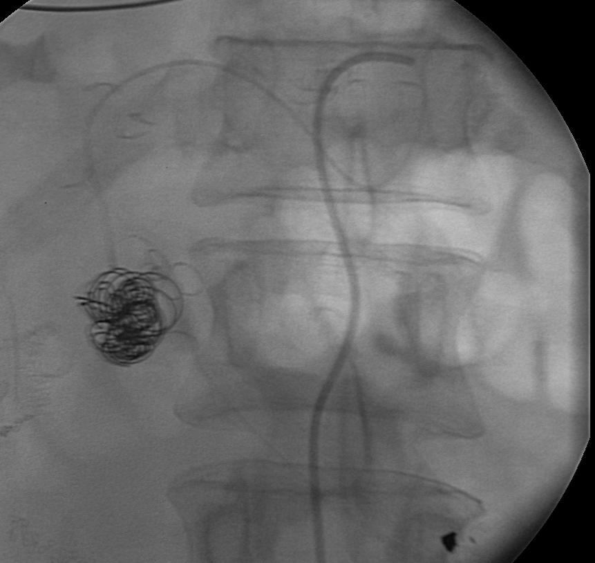
Suzuki 等人报告7例CT证实破裂动脉瘤病人,平均直径0.6mm。破裂与大小没有直接联系,18%的破裂动脉瘤<1cm。一般推荐在发现时就进行血管内治疗,但要考虑解剖情况和技术上的困难。
|
------分隔线----------------------------