动脉入路并发症分为穿刺部位并发症和导管导致并发症
一、血肿/出血【1】 最常见的穿刺部位并发症。小血肿的发生率高达10%,严重血肿定义为需要输血、外科干预或延长出院时间。但严重血肿并不常见。股动脉穿刺发生率0.5%,腋动脉穿刺为1.7%。血肿的危险性取决于穿刺的位置,小血肿如果发生在腋动脉可以引起神经损伤(neural injury)并需要外科干预。 多是由于穿刺部位过低引起的。
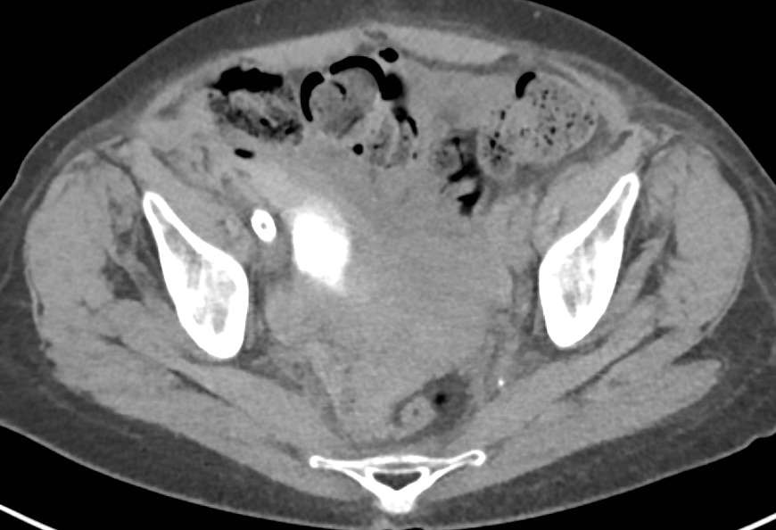
穿刺点过高导致盆腔内血肿
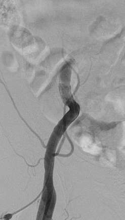
导管操作导致髂外动脉出血
二、夹层:或者称内膜下通过(subintimal passage)。非穿刺并发症,而是导管操作原因导致并发症。发生率0.0-0.44%
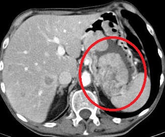
三、血栓形成: 病例1:恶性黑色素瘤肝、肠道转移患者,胃镜发现胃底肿物活动性出血,术后发现足背动脉搏动消失
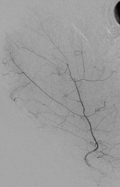
Pharmaco-mechanical thrombolysis with Angiojet and 5 mg t-PA
四、假性动脉瘤 病例1:子宫肌瘤栓塞术后2天,突然右腹股沟疼痛
病例2
股动脉瘤,超声引导下凝血酶(off label use)经皮注射
病例3:前交通动脉瘤经导管栓塞后。右腹股沟搏动性包块
五、动静脉瘘 病例1:蛛网膜下腔出血,动脉瘤进行血管内弹簧栓子栓塞
病例2:终末肾患者,肝硬化腹水。腹水穿刺引流后低血压,CT扫描发现活动性出血,造影剂外溢
术后
六、穿刺部位感染 多由于短时间内反复穿刺同一动脉,或长期在穿刺部位留置动脉鞘。在诊断性血管造影操作时,不建议进行预防性抗菌素(antibiotic prophylaxis) 七、远端栓塞:多由于导管导致的并发症,而不是穿刺位本身。注射造影时发现内膜下造影剂停滞现象。
1. Harjit Singh, MD, John F. Cardella, MD, Patricia E. Cole, PhD, MD, Clement J. Grassi, MD, Timothy C. McCowan, MD, Timothy L. Swan, MD, David Sacks, MD, Curtis A. Lewis, MD, MBA, for the Society of Interventional Radiology Standards of Practice Committee. Quality Improvement Guidelines for Diagnostic Arteriography. Volume 14, Issue 9, Part 2, Pages S283–S288, September 2003 |




























































