BCS介入治疗技术上的考虑
时间:2021-07-02 13:10来源:www.ynjr.net 作者:杨宁介入医学网
经颈静脉途径 活检 静脉造影 门静脉压力梯度测量 经颈静脉门腔静脉分流术 肝静脉或/下腔静脉支撑架或扩张术 Rendez vous:BCS在技术上是完成下腔静脉与肝静脉间的汇合 有时候这种上、下腔静脉间的汇合,上腔静脉与肝静脉的汇合是比较困难的
经颈静脉途径可以完成在腹水及抗凝情况下的活检,静脉造影和静脉血流动力学的测量;如果需要也可以经股静脉穿刺入路经下腔静脉
 |
|
• 活检
• 静脉造影
• 门静脉压力梯度测量
• 经颈静脉门腔静脉分流术
• 肝静脉或/下腔静脉支撑架或扩张术
|
Rendez vous:BCS在技术上是完成下腔静脉与肝静脉间的汇合
 |
|
有时候这种上、下腔静脉间的汇合,上腔静脉与肝静脉的汇合是比较困难的 |
汇合后肝静脉的主要介入治疗包括:
-
血管成形术(angioplasty)
-
支撑架植入术(stent implantation)
-
药物性溶栓(Pharmacologic thrombolysis)
-
机械性溶栓(Mechanical thrombolysis)
Piggyback syndrome
 |
 |
|
|
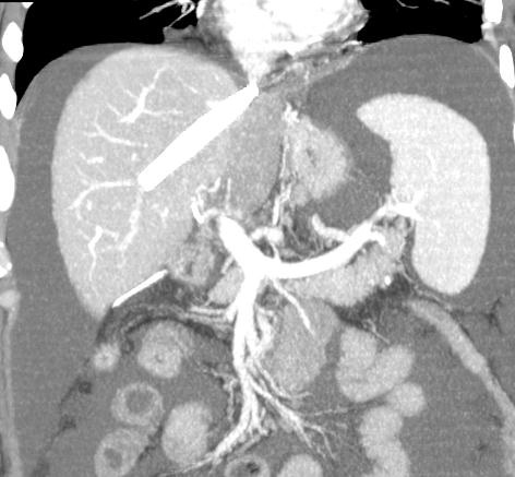
肝右静脉血栓,肝中静脉狭窄 |
|
------分隔线----------------------------