背景: 1973年 Maddison 首次报告脾栓塞【1】,但很多严重的并发症出现在后续的文献报告中。1979年Spigos 报告部分脾栓塞(Partial splenic embolization)【2】,至此脾栓塞进入了量体裁衣的时代。迄今为止,部分脾栓塞仍然是个研究的热点。尽管是个旧话题,但1980-2012 PubMed 检索时可以发现160篇文献,近来有增加的趋势。
适应症 部分脾栓塞的适应症,换句话说部分脾栓塞对下列疾病有效。 1. 血小板减少症和白细胞减少症。(以前曾应用干扰素、化疗、射频和外科切除) 2. 食道静脉曲张出血 3. 严重的门静脉高压(肝功能失代偿和顽固性腹水) 4. 肝性脑病 比较外科脾切除,部分脾切除的优势包括使用局部麻醉药,操作时间短,不需要输血和保留功能性脾组织作为防止严重性感染的保护性措施。RCT研究显示,部分脾切除术>外科手术脾切除【3】。 部分脾栓塞技术 1. 周围栓塞
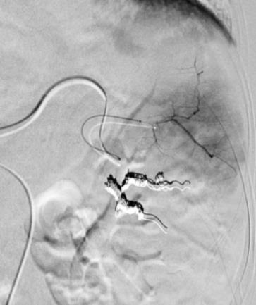
2. 段栓塞(弹簧栓子或微粒) 部分脾栓塞技术2:段栓塞
周围栓塞与段栓塞比较
关于栓塞材料的选择没有共识,一般可以认为明胶海绵>Coil >PVA或球形微粒或Onyx。朱顺康等人【4】RCT研究对比PVA(300-500μm)和明胶海绵(1-2mm),在部分脾栓塞后血小板和白细胞上升PVA >明胶海绵块。并发症PVA=明胶海绵。 Masada 等人在2013日本介入放射学年会发表演讲回顾性比较(2004-2012)Coil 和明教海绵部分脾栓塞44例显示,弹簧栓子和明胶海绵在提升血小板和并发症方面没有明显区别。
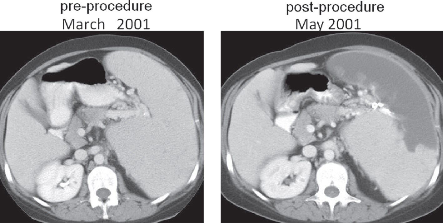
理想的栓塞容积究竟是和什么相关,并发症或血小板和白细胞? 部分脾栓塞的严重并发症包括,脾脓肿、细菌性腹膜炎、门静脉血栓,大量胸膜渗出和腹水。 朱顺康等人认为【4】并发症>70%,发生率为59%,<70% 并发症发生率为9.3%(p=0.0002);Hayashi等人【5】认为栓塞范围>540ml 并发症发生率39%,<540ml容积发生率10%(p=0.008) 从治疗效果分析,Hayashi等人【6】分析血小板增加和梗死脾容积间的关系,认为388ml的梗死容积对于充分增加血小板计数是必须的,理想的的梗死容积是388-540ml。
Hayashi 等人【7】认为,部分脾栓塞前的脾容积<400ml时,外科切除;400-700ml 时,一次部分脾栓塞达到388-540ml;>700ml时重复部分脾栓塞后≥2次。
如何预期部分脾栓塞时的梗死容积(Prediction of the infarction volume during PSE)
预期整个梗死容积主要是决定部分脾栓塞时的终点事件。
也可以用静脉增强CT计算预期栓塞容积
用计算方式预测血小板上升计数【8】
并发症 1. 脾脓肿
早期曾有作者报告注射疫苗(肺炎球菌疫苗,Pneumococcal vaccine)防止肺脓肿【2,9】。已经再没有作者发表类似的文献,想必已经过时。但将抗菌素与明胶海绵混合进行栓塞仍然被争论。Masada(JSIR 2013)的结果如下,
2. PVT is a severe complication of PSE(<5% ) 3. 胸膜渗出和细菌性腹膜炎 4. 暂时性栓塞后综合征:疼痛(左季肋部),低热(7-10天),血象升高 5. 意外栓塞 ![]() ![]() ![]() ![]() ![]() 小结: 1. 过去30年人们已经认识到部分脾栓塞对于治疗脾功能亢进的有用性。 2. 到目前为止,还没有关于部分脾栓塞技术、栓塞剂选择和动脉内应用抗菌素的共识 3. 目前影像引导下和软件应用使脾容积减少栓塞进入量体裁衣的时代。 1. Maddison, Frank E. Embolic Therapy of Hypersplenism. Investigative Radiology. 8(4):280-281, July/August 1973. 2. Spigos DG, Jonasson O, Mozes M, Capek V. Partial splenic embolization in the treatment of hypersplenism. AJR Am J Roentgenol. 1979 May;132(5):777-82. 3. Amin MA, el-Gendy MM, Dawoud IE, Shoma A, Negm AM, Amer TA. Partial splenic embolization versus splenectomy for the management of hypersplenism in cirrhotic patients. World J Surg. 2009 Aug;33(8):1702-10. doi: 10.1007/s00268-009-0095-2. 4. Zhu K, Meng X, Li Z, Huang M, Guan S, Jiang Z, Shan H. Partial splenic embolization using polyvinyl alcohol particles for hypersplenism in cirrhosis: a prospective randomized study. Eur J Radiol. 2008 Apr;66(1):100-6. Epub 2007 May 25. 5. Hayashi H, Beppu T, Okabe K, Masuda T, Okabe H, Baba H. Risk factors for complications after partial splenic embolization for liver cirrhosis. Br J Surg. 2008 Jun;95(6):744-50. 6. Hayashi H, Beppu T, Masuda T, Mizumoto T, Takahashi M, Ishiko T, Takamori H, Kanemitsu K, Hirota M, Baba H. Predictive factors for platelet increase after partial splenic embolization in liver cirrhosis patients. J Gastroenterol Hepatol. 2007 Oct;22(10):1638-42. Epub 2007 Aug 7.
7. Hayashi H, Beppu T, Okabe K, Masuda T, Okabe H, Ishiko T, Baba H. Therapeutic factors considered according to the preoperative splenic volume for a prolonged increase in platelet count after partial splenic embolization for liver cirrhosis. J Gastroenterol. 2010 May;45(5):554-9. doi: 10.1007/s00535-009-0185-9. Epub 2010 Jan 5.
8. Osaki A, Suda T, Waguri N, Ishikawa T, Yokoo T, Kamimura K, Tamura Y, Takamura M, Igarashi M, Kawai H, Yamagiwa S, Aoyagi Y. Formula to predict platelet count after partial splenic arterial embolization in patients with hypersplenism. J Vasc Interv Radiol. 2012 Jul;23(7):900-7. 9. Jonasson O, Spigos DG, Mozes MF. Partial splenic embolization: experience in 136 patients. World J Surg. 1985 Jun;9(3):461-7. 10. |



































