麻醉和入路 经皮栓塞治疗在静脉麻醉和镇静下进行,除非患者有严重的出血倾向或对造影剂有严重过敏反应史,一般均可在门诊完成。入路包括经股静脉入路,经颈静脉入路,经贵要静脉入路。二十世纪70年代最先报道用硬化剂代替金属圈。Formanek 最早在1981年提出的经颈静脉途径【Formanek A,1981】,由于其进入睾丸静脉的易行性和安全性目前已获得使用。据Morag报道【Morag B 1984】,通过颈静脉对右侧睾丸静脉进行栓塞的成功率较股静脉途径更高,前者成功率为89%,而后者则为62.5%。Kuroiwa报道通过贵要静脉的栓塞治疗比股静脉途径成功率更高【Kuroiwa T 1991】。最近,有数位作者报道,在用气囊或金属圈经股静脉途径进行栓塞时,可使用引导导管或同轴系统作为辅助。 栓塞水平的选择 由于分支血管存在变异,静索静脉曲张的栓塞治疗可以在内侧静索静脉的几个不同平面进行。未栓塞的交通支,特别是如果有较大的分支,可能会很快引起复发而且几乎没有临床改善,而较小的分支可能会随着时间逐渐增大,从而导致复发。Fobbe评估了在不同部位利用硬化剂材料对睾丸静脉进行阻断治疗的成功率【Fobbe F, 1987】。治疗后3个月,在静脉的近侧进行阻断,其技术成功率为68%,而在静脉末梢即靠近腹股沟环处进行阻断,由于消除了很多分支血管,成功率可达82%。 栓塞步骤 静索静脉曲张栓塞治疗的步骤是,首先对患者进行静脉镇静,如咪哒唑仑盐酸盐和芬太尼,以及硝苯地平(10mg)舌下含服,以减少可能引起的睾丸静脉痉挛。然后,用微血管穿刺装置(Cook, Inc)中的21号针进行颈内静脉穿刺,穿刺成功后置换套装置中的套管,通过套管将0.038英寸引导丝(Terumo)进入下腔静脉。插入长30cm、口径6 French的导管套(Medi-Tech),并通过导管套将5.5 French H1H(Cook, Inc)或5 French Bernstein导管(Medi-Tech)插入肾静脉,通常还需要成角的亲水导丝(Terumo)协助。 如果采用右侧股总静脉途径,则用5 French直导管(Cook, Inc)和尖部弯曲导丝(Cook, Inc)进入左侧睾丸静脉,用5.5 French Simmons 3导管(Cook, Inc)进入右侧睾丸静脉。较新的技术使用引导导管较尖部弯曲导丝更多。
患者处于反Trendelenburg位置,进行左肾静脉造影,以发现睾丸静脉的返流。将导管插入左肾静脉,进行睾丸静脉造影以发现睾丸静脉的返流,以及体循环和门静脉系统的分支显像。使用护罩或充分的平行光,来尽量减少睾丸的暴露。无需对静索静脉曲张直接照相,这样可能会增加性腺接受的放射性剂量。导管进入腹股沟管的部位,因此应避免经阴囊照相。在试图阻断所有可能会引起复发的分支时,推荐使用5-mm和8-mm Gianturco圈(Cook, Inc)(由于其放置容易而且价格便宜)。必须格外小心,避免金属圈的展开部分进入肾静脉或选择直径太小的金属圈,尤其在静脉痉挛时,这样可能会导致金属圈入肺。如果出现静脉痉挛,给予1ml 硝酸甘油液(100µg/ml)缓解痉挛。
左侧睾丸静脉栓塞后,可以将导管选择性插入右侧睾丸静脉。右侧精索静脉曲张发生率一般认为是5-9%,各种文献报告在30-80%之间【Kunnen M 1981 Morag B 1985 Formanek A 】。如果功能正常,则无需进行栓塞。如果功能不全,可以进行与左侧类似的栓塞。手术后4-6小时患者即可出院。应告知患者24小时内避免体力劳动。手术后的症状包括睾丸和后背疼痛,并可能出现低热,可以用非甾体类抗炎药治疗。
从一边到另一边的吻合说明单侧精索内静脉返流如何会影响双侧,这种吻合多被证实是耻骨上静脉和阴囊内静脉之间。 分栓塞治疗和硬化治疗两种。 单纯栓塞治疗 整体技术成功率为83%;左侧和右侧精索静脉正常解剖的情况下,技术成功率为97%。左侧精索静脉异常解剖的技术成功率为73%,右侧精索静脉异常的插管技术成功率为57%【Marsman JW 1995】。
逆行性硬化治疗:标准的操作 在血管造影室,病人头低脚高位。 ![]() 要求在腹股沟韧带位置手压迫精索(spermatic cord) 生殖静脉曲张的栓塞剂的选择有多种。在历史上早期的经皮栓塞与硬化剂的使用有关。在有阻断气囊存在的精索静脉内,注入几毫升的硬化剂。多种研究中使用的硬化剂有Varikocid(Combustinwerk),含有鱼肝油酸钠(55mg/ml)和苯甲醇(20mg/ml)。另一种硬化剂使用较少的polydocanol(aethoxysclerol, Kreussler Co.),则是羟化聚乙醚氧化正葵醇。其他硬化剂包括乙醇胺的高渗葡萄糖(70-80%)溶液,以及纯乙醇。注入硬化剂并使其与静脉接触数分钟。用手压迫腹股沟管可以阻止血液回流进入阴囊。硬化剂有关的并发症往往是由于硬化剂流入蔓状静脉丛,导致阴囊痛性水肿、静脉炎,以及睾丸损害,并可能引起暂时性精子数量减少或睾丸萎缩。一些研究者使用塑料压迫器来阻止硬化剂流入阴囊。
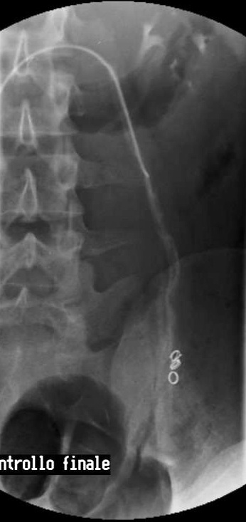
由于价格便宜,安全,并且可以容易的在多个位置放置,研究者使用大小为3,5,8和12mm的Gianturco金属圈。一些作者指出金属圈可以引起慢性炎症并导致疼痛,尤其在年轻患者中较为突出。Chomyn报道过从肺内取出金属圈的病例【Chomyn JJ 1991】。有作者使用较新的铂金属圈设计。尽管较为昂贵,但这些金属圈的优点是产生较少的MR伪影。对于老年患者,可能会由于其他原因需要进行另外的矢状面透视。
有研究者建议使用可脱球囊。推荐使用者认为它们可以在内侧精索静脉获得最佳位置,因为在永久打开之前,气囊可以漂浮并且通过注入造影剂能够看到可能的分支。并且在球囊打开充盈之前可以进行试验性阻断,无需进行精索静脉的超选择插管。Shuman报道使用球囊阻断进行右侧精索静脉栓塞的病例【Shuman L 1986】,显示成功率为89%,技术失败率仅为11%。Makita认为,使用引导丝导向的普通球囊,与传统的血液流向导向的球囊相比,更有利于球囊的传送。可脱球囊的主要问题在于其价格,实用性,并且可能会放置错误或漏气,从而导致肺栓塞。
其他用于经皮栓塞治疗的栓塞物,包括热碘化造影剂和MBCA(异丁基-2-氰基丙烯酸酯)。Smith报道使用热造影剂消除曲张静脉,并提出与机械装置相比,热造影剂的优点在于其容易获得并且不需额外费用。而且与硬化剂相似的,它可以同时阻断主要通道和平行血管。通过注射热造影剂栓塞精索静脉(左侧平均需25.8ml,右侧平均为21.4ml),可以达到40.5%的致孕率,而且合并症很少。栓塞物的其他类型还包括压缩型 Ivalon栓 ,即聚乙烯酒精海绵,通过膨胀来阻断静脉,以及spiderlons(Scientific Apparatus Snop),是将Ivalon栓连接于蜘蛛形金属圈从而进行栓塞。
泡沫硬化剂的注射 缓慢局部注射120-160mg 的硬化剂(polidocanol-Lauromacrogol 400 2%)大约30分钟,硬化剂与造影剂混合50:50
精索静脉曲张硬化治疗的结果 Gandini 等人报告,泡沫硬化剂治疗224例病人的结果。技术成功率97.1%,复发率为3.6%。精子的数量显著的改善。 ![]() 硬化与外科比较【May M 2006】
AS: Antegrade sclerosis LV: Ligature of vein
LLV: Lymphatic Sparing LV PS: Percutaneous sclerosis
弹簧栓子+泡沫硬化剂 技术成功率为97.2%【Eric Reiner 2008】 硬化与栓塞比较 硬化治疗导致所有的侧支循环闭塞,甚至我们并没有在静脉造影中看到的。虽然机械阻塞或胶阻塞考虑与外科血管结扎相似。硬化治疗虽然与弹簧栓子或胶相似结果,但没有弹簧栓子移位或胶移位的危险【Iaccarino V 2012】。 Sclerotherapy: Why not? | ||||||||||||||||||||||||||||||||||||||||||||||||||||||||||||||||||||||||||||||||||||||||||||||||||||||||||||||||||||||||||||||||||||||||||||||||||||||||||||||||||||||||||||||||||||||||||||||||||||||||||||||||||||










































