二、经静脉路径栓塞:
-
考虑所有高血流的动静脉畸形为一个静脉池(Think of all high flow AVMs as being venous sumps)
-
试图填埋静脉池而不是阻塞动脉分支(Try to obliterate this venous sump without occluding arterial branches)
神经介入放射学医生认识动静脉畸形(arterial-venous malformation,AVM)的“静脉池(venous sump),对于介入治疗影响的重要性已经很多年了。Emmanuel Houdart首次发表其AVM分类是在20年前(1993)的事情。只不过神经介入医生所关心的是脑的动静脉畸形。

了解高血流内存在的动静脉交通各种解剖类型是决定栓塞治疗这类病变最重要的因素。
An understanding of the anatomy of various forms of arteriovenous communications which can exist within high-flow AVMs is the single most important factor when treating these lesions by embolization
动静脉畸形分类
|

|
|
Arterio-venous:Three or fewer feeding vessels communicating with an identifiable venous sac |
|

|
|
Arteriolo-venous:More than three feeding vessels communicating with an identifiable venous sac |
|

|
|
Arteriolo-venulous:Numerous feeding arteries and draining veins
;First identifiable vein is distal to the site of arteriovenous communication
|
实际上在周围血管动静脉畸形方面作为后来者的介入放射学医生认识到这一点是很慢的。当介入放射学医生试图和追上神经放射学医生正在做的那些事的时候,发现神经放射学医生经静脉入路的途径被限制,在栓塞脑动静脉畸形的时候,他们不得不操作微导管进入小的分支以便栓塞的物质可以达到引流静脉的起始部分。神经介入医生甚至担心一旦脑动静脉畸形中引流静脉被阻塞导致静脉高压、破裂和出血,因为脑组织是软的。而介入放射学医生不必要,也不应该担心类似的事情。神经介入中所谓“接近血管巢”一词也并非介入放射医生所能理解的。后者认为所谓的“巢”不过是迂曲的动脉血管所滋养的静脉集合。对介入放射学医生来说:忘掉“巢”吧,多想想“静脉池”
脑动静脉畸形
 |
|
很明显对于脑动脉畸形栓塞术,经静脉入路是不现实的 |
就算神经介入医生可以通过动脉一侧将栓子释放到引流静脉初始的部分,就没危险了吗?较大的风险之一就是这一过程有潜在阻塞供应正常组织的动脉分支。同时栓塞物质可能发生经静脉侧流出的风险。
Onyx 胶可以经滋养动脉一侧阻塞静脉一侧的初始部分,虽然是一种好的栓塞剂,但仍然不可预测,而且也不便宜。神经介入医生喜欢用胶,其实是可供选择的栓塞物质不多。
为什么不可以在可能的情况下将栓塞剂从静脉一侧注入,你既可以控制流出并且硬化静脉部分使其闭塞呢?
这就是所谓的经静脉动静脉畸形栓塞(Venous approach to embolization)。其主要特点是:
-
常比经动脉栓塞安全(Often safer than an arterial approach)
-
如果成功有最好的长期结果(If successful will give best long-term results)
-
最困难的部分是获取满意的静脉血流的控制以便栓塞(Most difficult part is obtaining satisfactory control of venous outflow to allow embolization)
经静脉栓塞动静脉畸形通常分为,经静脉途径、经动脉途径和经皮直接穿刺三种途径。经静脉途径栓塞动静脉畸形的引流静脉应用较多。首先需要了解动静脉畸形的解剖类型。
描述解剖(Delineate anatomy)
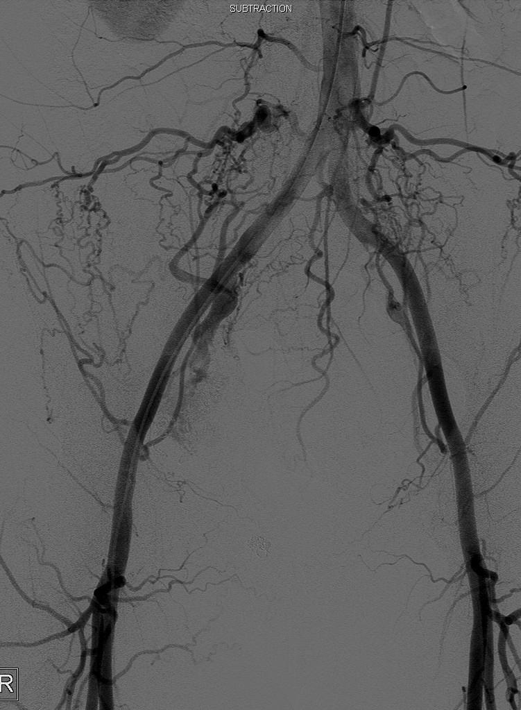
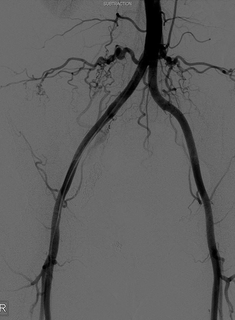
盆腔动脉非选择动脉造影
 |
 |
|
非选择血管造影(Non-selective arteriograms) |
双髂动脉结扎后 |
 |
 |
|
通常难以描述动静脉畸形交通的解剖关系 |
Often difficult to assess anatomy of arteriovenous communications |
 |
 |
|
双髂动脉闭塞,但不明确动静脉间交通解剖类型 |
|
右侧腰动脉造影
选择性肠系膜下动脉造影
控制静脉血流措施包括
-
整形外科使用的止血带(Orthopaedic tourniquet)
-
阻塞球囊(Occlusion balloon catheter)
- 阻塞静脉 Venous
- 阻塞动脉 Arterial
-
从明显的静脉囊栓塞其它较小的流出道静脉,如果存在的话(Embolization of other smaller outflow veins from dominant venous sac if present)
- 弹簧栓子Coils, 血管塞plugs, 胶glue, 液体栓塞剂liquid sclerosants
球囊导管 Control venous outflow
Control venous outflow
-
目标是获取静脉内造影剂滞留(Aim should be to obtain contrast medium stasis within central venous component)
-
可以安全地应用液体硬化剂(Allows safe use of liquid sclerosant agents)
-
使这些栓塞剂对血管壁有较好的影响(Better effect of these agents on vessel wall)
球囊控制
弹簧栓子控制静脉流出道
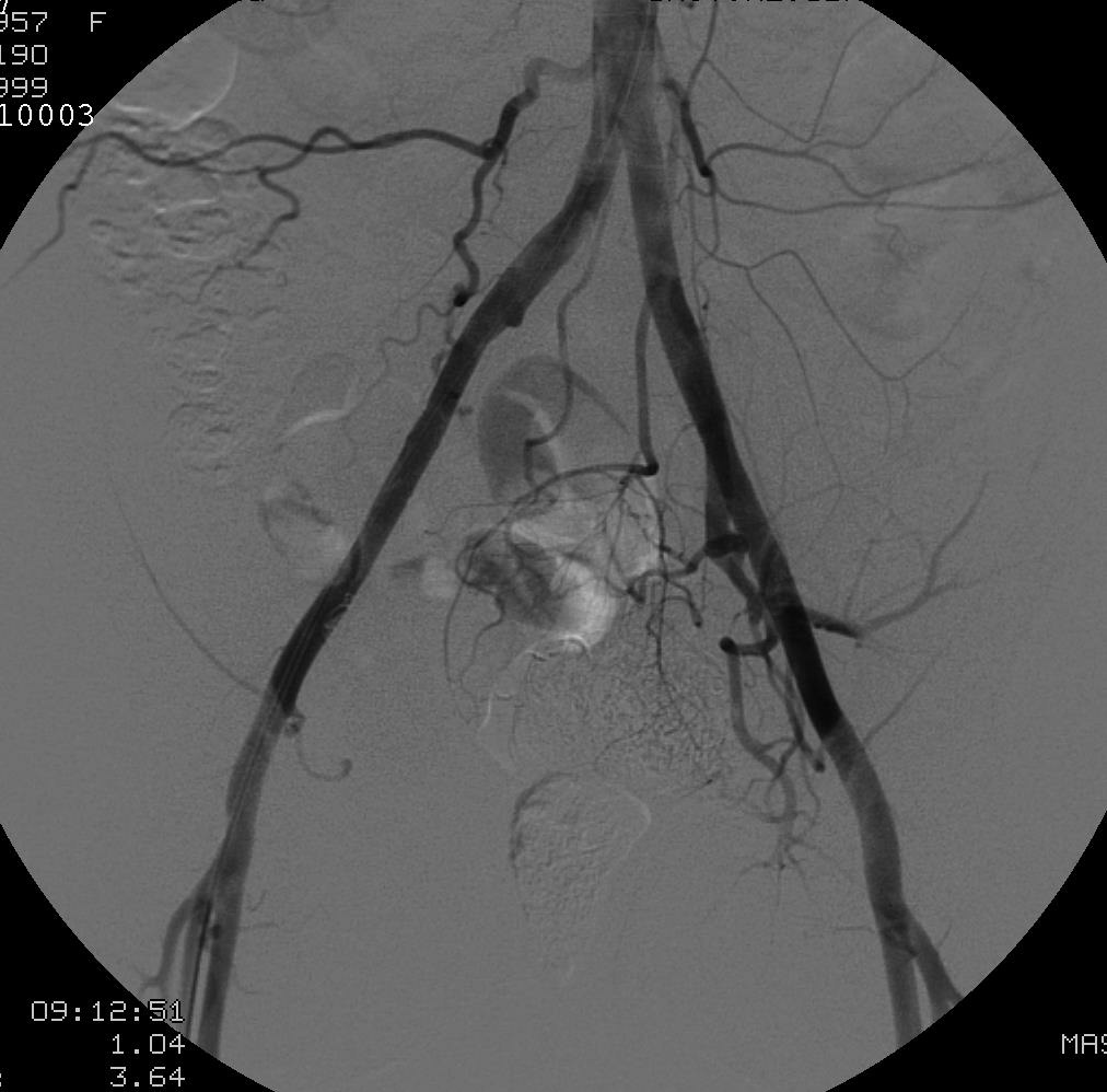
42F,复发性疼痛,双下肢肿胀,血尿;子宫切除史,卵巢切除史,所有盆腔血管术中结扎等
滋养动脉:右侧卵巢动脉,骶中动脉,双侧髂外动脉,左髂内动脉,右股浅动脉和右侧股深动脉等。
左髂内动脉造影显示大量畸形血管和明显单一扩张的引流静脉
经静脉栓塞
症状消失
不要总生活在过去
|

|
|
选择新路径进行血管畸形的栓塞 |
对于动静脉畸形来说,静脉入路是最好的。联合动脉栓塞是更好的。可以改善治疗的结果,减少并发症使病人获益。过去想“血管巢”,现在需要考虑“静脉池”的栓塞。

|