入路的选择:
包括经动脉入路、经静脉入路和动静脉联合入路,以及直接穿刺入路。
4. 不要用液体硬化剂,只要你对血管分布有任何怀疑
注射任何液体硬化剂之前,通过血管造影确保你清楚地知道这些液体栓塞剂都去哪儿了或到哪儿结束。
5. 避免为了最后结果看起来更好,栓塞小一点儿病变(that little bit more)。因为多数动静脉畸形并不危及生命,分阶段(in stages)治疗较大病变最好。
6. 不要治疗偶然发现的动静脉畸形。除非你有经验或 送到有经验的大夫或AVM 治疗中心。
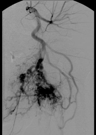
原则上首先阻塞大的供血动脉的远端,不要阻断它们的近端。包括使用渗透性栓塞剂(penetrating agent)如液体栓塞剂(如果你很勇敢/有经验/病人对潜在并发症有预期/有个好律师,就用酒精吧!不过我喜欢用Onyx和胶-glue)和微导管对大的供血动脉的分支逐次进行远端的栓塞,但要注意每个分支可能参与正常组织结构的供血。如果你对预计栓塞的分支供血分布有任何怀疑,避免用液体栓塞剂。完成主要大血管的末端栓塞后,再考虑是否进行其它分支的远端栓塞,因为一次性完成栓塞往往导致更多的并发症。 |





































