覆膜支撑架的类型
分自扩式和球扩式两种
1. 自扩式覆膜支撑架
主要代表厂家包括
Viabahn (W.L. Gore & ASS. , Flagstaff, AZ,USA)
Fluency (V.R. Bard,Tempe,AZ USA)
Wallgraff (Boston Scientific Coop. Natick, MA,USA)
Viabahn (W.L. Gore & Ass.,)
 |
 |
 |
 |
 |
 |
 |
|
|
|
|
VIABAHN SG (stent graft)
VIABAHN SG -支架 移植物膜作为物理屏障防止内膜增生
- 1年原发性通畅70.9%-88.1%
= 病变长度19-26 cm。

 |
 |
|
Patency Rate of All Lesions |
|
 |
 |
|
Patency Rate of Lesions ≥20 cm |
|
fluency cover stent
wallgraff stent
2. 球囊扩张覆膜支撑架
Atrium(0.035 inch system – Atrium covered stent)
Graft Master (Abbott, Santa Clara, CA, USA)
 |
 |
 |
|
3 – 5 mm diameter (length (15 – 25 mm)
|
Graft Master (Abbott, Santa Clara, CA, USA)
|
0.014 inch system (coronary stent-grafts)
|
覆膜血管支撑架的潜在适应症包括:
-
出血
-
主动脉或周围动脉的动脉瘤/夹层
-
动脉硬化性阻塞性疾病
-
经颈静脉门腔血管分流术
-
透析通道狭窄
-
非血管应用(胆道,食道,器官等)
覆膜支撑架在出血疾病中的应用
主动脉:包括主动脉外伤、动脉瘤破裂或夹层或外伤[1,2]
周围血管:髂、锁骨下、颈动脉;肾、肠系膜和股动脉。髂股静脉和透析通道。
透析瘘的输出静脉出血,由于PTA:覆膜支撑架植入
 |
 |
|
|
|
Bierdrager et al. Neuroradiology 2004
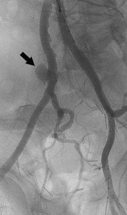
泌尿系感染导致髂动脉损伤
 |
 |
 |
|
动脉瘤 |
动脉瘤 |
覆膜支撑架植入 |
Malgor et al. J Vasc Surg 2012;Haegeman et al. Vasc Endovasc Surg in press 2013
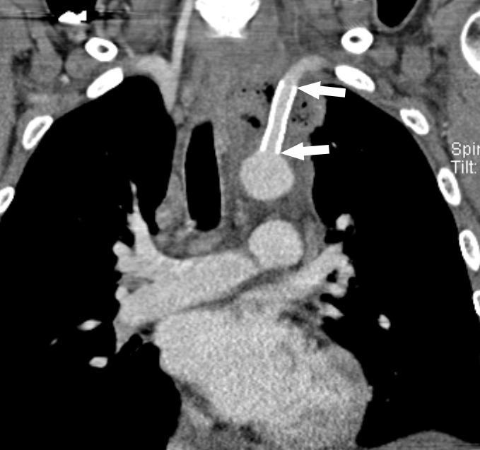
髂动脉损伤:肿瘤
 |
 |
|
出血,造影剂外溢 |
假性动脉瘤 |
 |
 |
|
造影剂外溢 |
覆膜支撑架 |
Knape et al. J Endovasc Ther 2004
Floré et al. Eur J Cardiothorac Surg 2013 in press
Carotid artery: oncology (blowout syndrome)
 |
 |
|
|
|
 |
 |
|
|
|
覆膜支撑架潜在(后期)并发症
阿司匹林、波立维,肝素?
-
覆膜支撑架感染:主要由于支撑架置入前动脉(或静脉)与肠道,泌尿道或气管之间形成瘘 :广谱抗菌素>1个月
覆膜支撑架出血并发症小结:
主要应用于大血管;使用的支撑架包括球囊或自膨式覆膜支撑架;可以迅速有效地控制出血;主要的并发症是感染或支撑架内原位血栓而分别需要长期广谱抗菌素和双抗血小板治疗
(责任编辑:Mr.Editor)
1. Daenen G, Maleux G, Daenens K, Fourneau I, Nevelsteen A. Thoracic aorta endoprosthesis: the final countdown for open surgery after traumatic aortic rupture? Ann Vasc Surg. 2003 Mar;17(2):185-91. |