| MVP™ Micro Vascular Plug Device (Reverse Medical corporation, Irvine CA) 
 目前已经通过CE Mark,尚没有在美国应用。 MVP-3的临床前研究: 狗的2mm直径的锁骨下动脉,通过0.021“ 微导管进行超选择栓塞 
 
 临床研究:放射性栓塞前胰腺动脉栓塞 
 临床研究:放射性栓塞前,胃右动脉栓塞 
 | 
|   | 
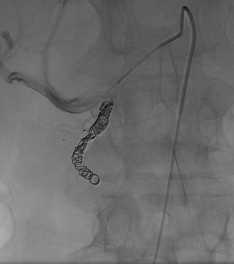
| MVP™ Micro Vascular Plug Device (Reverse Medical corporation, Irvine CA) 
 目前已经通过CE Mark,尚没有在美国应用。 MVP-3的临床前研究: 狗的2mm直径的锁骨下动脉,通过0.021“ 微导管进行超选择栓塞 
 
 临床研究:放射性栓塞前胰腺动脉栓塞 
 临床研究:放射性栓塞前,胃右动脉栓塞 
 |