转移性乳腺癌介入治疗的疗效
时间:2021-07-01 21:43来源:www.ynjr.net 作者:杨宁介入医学网
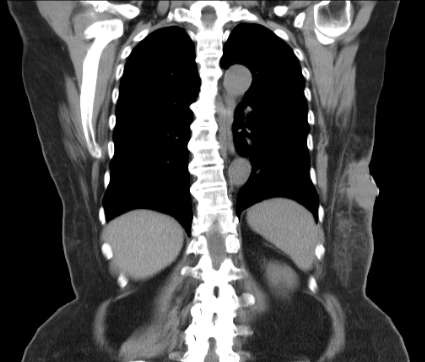
病例1: 60岁局部胸壁复发和活动性出血 60 y/o local and chest wall recurrence and lymph node metastases CT 冠状位扫描 锁骨下动脉造影 转移性淋巴结胸壁外侧动脉(Lateral thoracic artery)供血 转移结节胸背动脉(Dorsal thoracic artery) 供血 动脉
病例1: 60岁局部胸壁复发和活动性出血
60 y/o local and chest wall recurrence and lymph node metastases
|

|
 |
|
CT 冠状位扫描 |
锁骨下动脉造影 |
|

|

|
|
转移性淋巴结胸壁外侧动脉(Lateral thoracic artery)供血 |
转移结节胸背动脉(Dorsal thoracic artery) 供血 |
动脉灌注CT扫描
|

|

|
|
Lateral thoracic artery 转移性淋巴结显影 |
Dorsal thoracic artery 供血结节 |
随访
随访结果
|

|
Cisplatin; 50mg + 5-FU;500mg + QuadraSphere bland embolizaton |
|

|
一个月后 |
 |
2个月后 |
随访
病例2:胸壁复发转移
胸壁转移治疗
|

|

|
|
术前,胸壁复发,溃疡 |
第一次治疗后1个月 |
|

|

|
|
第二次治疗后一个月 |
第三次治疗后一个月 |
 |
|
1年4个月后随访 |
病例3:
 |

|
|
术前,乳腺癌胸壁和气管嶐突下转移结节 |
术前:右肺门淋巴结转移 |
|

|

|
|
肿瘤滋养动脉的化疗和栓塞 |
右侧支气管动脉灌注和栓塞 |
|

|

|
|
术后随访:胸壁和嶐突下结节消失 |
右肺门旁淋巴结消失 |
|
------分隔线----------------------------