前列腺动脉栓塞后的结果包括技术成功率、临床成功率、IPSS(国际前列腺症状评分)、 IIEF-5( 国际勃起功能问卷)、前列腺容积减少(PVR)、尿流动力学改善、生活质量评分(QoL)和操作技术相关数据(操作时间、透视时间、出院时间;受辐射剂量)和治疗结果的持续时间等。
![]() Francisco Cesar Carnevale, MD. PhD.(University of Sao Paulo Medical School)等人在SIR 2012 (洛杉矶)报告了他们多学科(包括泌尿科、放射科和介入放射科)前列腺动脉栓塞治疗良性前列腺增生症的II期初步研究(Phase II Pilot Study)。研究评价该治疗方法对12例急性尿潴留(留置尿管)病人LUTS(Lower Urinary Tract Symptoms)和Quality(QoL)的改善情况。 他们的调查问卷:“If you were to spend the rest of your life with your urinary condition just the way it is now, how would you feel about that?” 回答分为0~6分
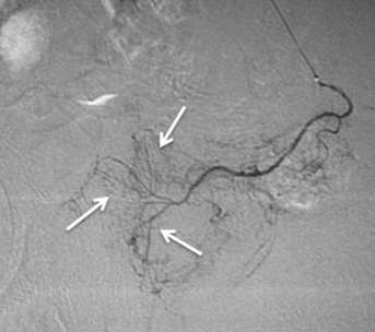
1. 技术成功 PAE – Technical Goals
前列腺动脉栓塞的技术成功率=75%(9/12),双侧栓塞为9例(75%),单侧栓塞为3例(25%);单侧栓塞的原因是没有看见其中的一支动脉(prostatic asymetry),微导管不能沿导丝前进(No microcatheter progression over the wire)和膀胱下动脉夹层(IVA dissection)
|






