选择性前列腺动脉导管术和栓塞
1.备皮双侧股动脉区域备皮, 局麻。
2. 插入Foley 尿管,向球囊内注入稀释造影剂作为对比。
3. 股动脉入路单侧或双侧,置入5F鞘管。先行髂内动脉造影。
4. 5F RUC 或 COBRA 2 + 微导管进入髂内动脉前分支及前列腺动脉并造影证实。

5F RUC导管(子宫动脉导管)
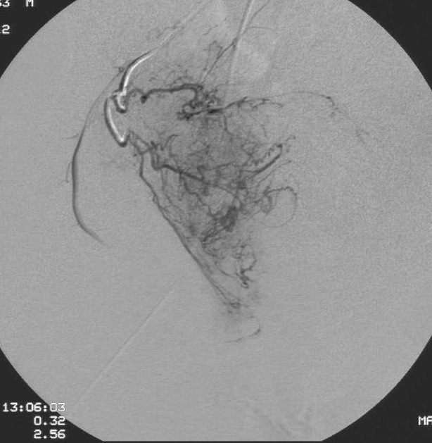
5. 髂内动脉造影显示髂动脉向前的分支(同侧斜位35°,头侧斜(caudal-craneal10°)。进行选择性前列腺动脉导管术;或称为PROVISO
P= Pudendal;R=Rectal;O=Obturator;V=? I=inferior;O=Oblique。同时充盈Foley尿管便于识别。
Balloon Technique+PROVISO 技术
 |
 |
|
F=Foley Catheter |
Sv=Superior vesical
VL=
iL=
mR=middle rectal
Ob=Obturator
Ls=Lateral sacral
iP=internal pudendal
sg=superior gluteal
ig=inferior gluteal |
微导管的末端位置(the microcatheter is advanced distally in the prostatic artery before embolization)
 |
 |
|
|
|
 |
 |
|
|
|
6. 栓塞微粒
有人根据前列腺大小选择栓塞微粒的大小。
7. PVA – 100 μm, 200 μm(球形或非球形微粒):动物实验表明直径250~335直径大小的PVA,在前列腺周围停留。但是这样小的微粒(100~200μm)可以通过吻合支造成非靶器官意外栓塞。如果前列腺包膜分支超出这一直径大小可以考虑应用200~300μm大小的PVA。
8. 双侧前列腺动脉栓塞
9. 终点(end point):前列腺动脉血流缓慢或接近停滞(near stasis),与栓塞前前列腺动脉造影比较,前列腺动脉血流中断(interruption)前列腺血管床(prostate bed opacification)不显影。
前列腺动脉栓塞
|