子宫肌瘤治疗前影像学的角色包括:
超声:
超声的优点是便宜和容易应用的影像学方式,也是妇科检查的常规。丰富经验的老手足以决定子宫肌瘤的大小和数目。超声的缺点是检查的结果高度依赖操作者的经验。经阴道超声在发现子宫肌瘤有效性方面和MRI一样,但是在确定子宫肌瘤图谱的能力逊于MRI,特别是较大(>375ml)多发性(>4个)子宫肌瘤(Dueholm et al., Am J Obstet Gynecol. 2002)。MRI影像对于发现子宫肌瘤敏感性大于超声两倍(Levens et al., Am J Obstet Gynecol. 2009) 超声主要当患者出现临床症状的时候,用于子宫肌瘤的筛查。 ![]()
MRI
| ||||||||||||||||||||||||||||||||||||||||||||||||||||||||||||||||||||||||||||||||||||||||||||||||||||||||||
![]() |
![]() |
![]() |
![]() |
| T1 增强磁共振成像显示有较大强化区域 子宫肌瘤(位于子宫肌层内/腔内) Bright | T1 垂直轴位磁共振成像,图像较大 黏膜下/腔内子宫瘤,无强化现象 Dark |
增强的子宫肌瘤
![]() |
![]() |
| light fibroids | Dark fibroids |
子宫动脉栓塞的适应症
子宫肌瘤(有症状者)
恶性肿瘤伴顽固性出血的姑息治疗
2. 评估是否同时存在的子宫腺肌病
在子宫肌瘤栓塞术过程中对栓塞颗粒大小的影响
对子宫肌腺症的发现可以评估子宫肌瘤栓塞的临床成功率
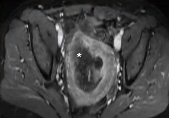
单纯子宫肌腺症MRI表现
![]() |
- 成像区>增厚连接区12 mm(箭头)
- 散在T2高强度灶
![]() |
![]() |
| MRI CM 是子宫肌瘤诊断的金标准 | possibility of 3D angio-MRI sequence to map the pelvic vascular system |
流行病学: 子宫切除标本患病率为8.8% - 31%。在生育年龄较晚的时候开始,一般在35岁以后。常与子宫肌瘤并存
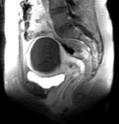
![]() |
![]() |
| 38 岁,伴有经期严重出血及严重周期性腹痛的患者 纤维囊肿的 CT 诊断 图像(冠状位,矢状位,显示有腺肌瘤(箭头所示) | |
子宫腺肌病
影像学检查结果:
流行病学:
建议: 这一点很重要,因为这会影响到栓塞颗粒的大小的选择。
3. 了解子宫肌瘤栓塞术(UAE)的禁忌症
恶性肿瘤(可能需要采取姑息或根治性治疗)
子宫内膜癌
![]() |
![]() |
| 矢状位 T2 加权磁共振成像 菜花型子宫内膜肿块 | |
![]() |
![]() |
| 轴位 T1 增强扫描显示 病变的低强化* | 冠状位 T2 加权磁共振成像 菜花型子宫内膜肿块 |
子宫内膜癌影像学检查结果:
流行病学
症状
建议措施
平滑肌肉瘤
![]() |
![]() |
![]() |
| 47 岁女性,伴有 严重经期出血和盆腔疼痛症状。冠状位[A]和矢状位[B]的 T2 加权磁共振成像显示子宫增大范围内存在中等信号病变。[C] 轴位 T1 后处理图像显示子宫内有强化肿块,边缘不规则。 | ||
影像学检查结果: 质地较硬的肿块,边缘不规则,T2 期呈中等至较高强度,T1 期呈高信号(提示出血) 没有任何标准能够将退化的子宫肌瘤与平滑肌肉瘤区分开来。
罕见情况:<1% 的患有子宫肌瘤的女性(患病风险为) (0.04 至 0.13%)
症状 盆腔疼痛、出血、可触及肿块
建议: 与之前的影像检查结果相比;生长速度极快(在 3 至 6 个月内增长了一倍)……这很令人担忧!
宫颈狭窄
![]() |
| 矢状位 T2 加权磁共振成像显示,子宫内膜腔内有 T2 强信号的液体填充。 |
![]() |
![]() |
![]() |
| 子宫输卵管造影:宫颈狭窄(箭头所示) | 轴位 T1 加权磁共振成像检查结果子宫腔内存在未强化的病变组织的 | 轴位 T1 加权磁共振成像显示子宫腔内有等信号病变 |
影像学检查结果:
充满液体的子宫内膜腔,通过磁共振成像序列显示有血液成分存在。
子宫输卵管造影检查中宫颈直径为 0.5 - 3 厘米。
流行病学分析
先天性的
先前的治疗方式:LEEP 手术、子宫内膜切除术(用于治疗子宫肌瘤!)
症状 周期性下腹疼痛、可触及的盆腔肿块、少量出血
建议 宫颈扩张(在某些情况下有效) 与恶性肿瘤相关的支架置入以缓解症状的病例报告
侵入性宫颈癌

![]() |
![]() |
| 轴位 T2 加权磁共振成像,中度信号强度 外生型宫颈肿块伴侵袭性病变 进入相邻的左侧半骨盆 | 轴位 T1 加权像显示有强化的向外突出的颈部肿块,该肿块已侵犯到邻近的左侧半椎体。 |
影像学检查结果:
T2 中等信号强度,会破坏T2低信号 深色的纤维性基质
可能为外生型、浸润型或宫颈内型(呈桶状)
疾病流行病学 99.7%的样本中检测到了人乳头瘤病毒,通过巴氏涂片检查可实现早期检测。 在I期的患者中,五年生存率为 92%;而在IV期的患者中,五年生存率为 17%。
症状 阴道出血、性交后出血、下腹部疼痛
建议 活检、分期、治疗
4. 确定其他可能导致严重经期出血或盆腔疼痛的原因
息肉
子宫内膜异位症
宫颈狭窄
输卵管积水
盆腔静脉疾病
May Thurner综合征
对于那些因疑似子宫肌瘤而接受治疗的盆腔疾病患者,应进行盆腔影像学检查,以明确子宫肌瘤的性质、排除可能的子宫肌瘤栓塞禁忌症,并确定症状的其他可能病因。 至关重要的是,介入放射科医生要了解各种病理状况,提出并审查适当的影像检查,并与多学科团队合作,以便更快地为患有这种具有显著重叠症状的特殊病症的患者进行治疗。
并非所有的出血都是子宫肌瘤引起的:女性健康中影像检查是非常重要的
自发梗死的子宫肌瘤(Nikolaidis et al. J VascIntervRadiol. 2005)
|
|
|
子宫内膜异位症+子宫肌瘤
|
|
![]() |
MRA 发现卵巢动脉(Kroencke et al., Radiology 2006)
|
|
|
![]() |
Kensakuet al. Radiology 2010
- 发现临床改善不充分的原因
- 评估子宫本身的栓塞后改变
- 决定残余子宫肌瘤的位置
- 发现:去除的子宫肌瘤(sloughed);部分排除的子宫肌瘤;停止生长的子宫肌瘤
- 发现感染等并发症
子宫梗死的临床表现是各式各样,包括持续的剧痛(Severe unrelenting pain),早期感染表现,持续数周的慢性疼痛,后续外科手术才能缓解。子宫梗死的发生主要由于栓塞过度和使用直径较小的栓塞微粒。如果临床高度可疑子宫梗死,MRI的检查有助于这一子宫本身损伤的发现,但是灌注缺损通常发生在子宫动脉栓塞术后72小时。
子宫肌瘤栓塞后子宫暂时性缺血
|
|
|
| 栓塞后MRI立即 | 栓塞后72小时 |
子宫肌瘤栓塞后子宫暂时性缺血
|
|
|
|
| 栓塞前 | 栓塞前 | 栓塞后72小时 |
慢性细菌性子宫内膜炎与子宫缺血损伤相关。表现为慢性的盆腔疼痛和非脓性的阴道分泌物,可以没有细菌性感染的表现。MRI有助于观察炎性的变化。
子宫内膜和子宫肌层炎症
|
![]() |
![]() |
![]() |
| 栓塞后72小时 | 栓塞后3月 | 栓塞后12个月 |
|
|
|
|
| 术前 | 术后6月 | 术后24月 |
子宫和子宫肌层炎症
|
|
| Endo-/Myometritis |
Fibroid Sloughing
如果慢性阴道持续分泌或子宫肌瘤坏死碎片症状性排除,可能发生感染和需要治疗。也可以发现粘膜下残余子宫肌瘤和在子宫肌层的范围。指导宫腔镜的早期检查和切除。
Walker et al.; Am J Obstet Gynecol 2004
|
|
| 子宫动脉栓塞后,MRI-T2WI显示子宫肌瘤表面和宫腔之间高信号。子宫输卵管造影显示子宫肌瘤和宫腔之间的窦交通; |
|
|
| 宫腔镜下残余子宫肌瘤切除术后的结果。 |
子宫肌瘤栓塞后感染 MRI表现
|
|
|
| 栓塞前 | 栓塞术后3天 |
子宫肌瘤栓塞术后MRI 显示宫腔内感染
|
|
MRI 观察到栓塞后子宫肌瘤排出
|
|
|
|
| 栓塞前 | 栓塞后3天,子宫肌瘤坏死 | 栓塞后2月,子宫肌瘤排出 |
同一病例
|
|
|
子宫动脉栓塞后子宫肌瘤部分或全部从子宫壁脱离可以引起疼痛(绞痛),严重的阴道出血,阴道分泌物(脓性或恶臭)和感染,或全部或部分子宫肌瘤经阴道排出。MRI可以评估子宫的完整性(子宫梗死等),子宫肌瘤的位置或还有残活的子宫肌瘤。从子宫壁脱离的子宫肌瘤向宫颈运动。
结论:超声对于建立子宫肌瘤的诊断是胜任的。无论什么时候可能,MRI和MRA都被推荐在子宫肌瘤栓塞之前进行。子宫肌瘤栓塞后的病人如果症状没有改善、子宫肌瘤大小没有变化以及怀疑栓塞后并发症发生建议进行增强的MRI。























































