TIPS术后发生明显和隐匿性(overt and covert)肝性脑病诊断和治疗与非TIPS发生肝性脑病没有什么区别。
减少和闭塞分流通道
栓塞任何已存在的大型自发性门体分流(如果在TIPS期间尚未栓塞)是TIPS后HE管理的重要一步。(大型自发分流好像只有胃肾分流,而胃冠状静脉不包括在内)
支架直径缩小或闭塞是为防备严重的持续性明显HE。
不幸的是,通过血管堵塞、多个弹簧栓子或可脱球囊进行完全分流闭塞,往往会由于突然的血流动力学改变而导致危及生命的后遗症。
即使是打算使用乳胶可脱球囊阻塞可逆性TIPS支架,持续充气48小时,也会有复发性VH和死亡的风险。
为了克服这些问题,已经描述了多种支架直径减少的技术。
最初,受限性裸支架被用于分流支架血流减少。
这些要么是定制的,要么是需要使用平行的球囊可膨胀支架。
然而,即使在使用弹簧栓子对支架狭窄部分周围的死空间进行栓塞后,该技术也因不准确的血流调节而受到限制。
如今,裸支架的减少几乎完全使用支架移植来完成,这在血流调节方面提供了更可预测的结果。
最初描述了使用缝合线绑缚成沙漏结构的球囊可膨胀覆膜支架
。
后来,Sze等报道了一种在TIPS支架内平行放置植入支架和球囊可扩张支架的技术。
球囊可扩张支架,这将确定流腔。
TIPS广泛推广的最主要的限制是脑病和分流的长期并发症。已经设计了几项技术改良来致力于解决这些问题。
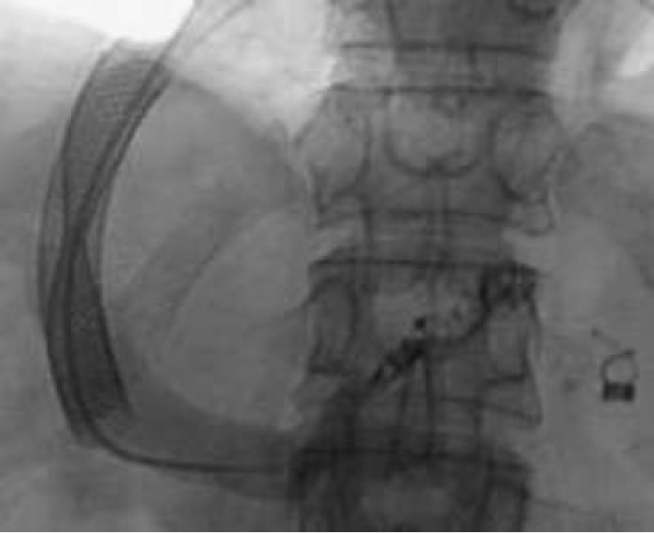
肝内的分流很容易在技术上获得成功,但时常由于分流过大导致肝性脑病。为了减少或者阻塞分流,进而设计的经皮的分流改良装置,可以对患有分流流量大引起的脑病施行。
(1)选择球囊栓塞技术完全阻塞分流,即使用7F的球囊导管经导丝前进到分流处的支撑架内并使气球充气保持24小时。曾对5名患者使用了这种技术,能够阻塞分流并逆转脑病。然而,其中一名病人在分流阻塞的第二天出现了复发性静脉曲张出血。
(2)有些研究者赞成减小TIP腔的有效直径,而不是完全地阻塞分流。一种经过改良的支架,可以呆有预先确定的分流中部的狭窄,并被放置到现存的支架内,以减少它的有效直径。
|














