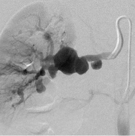
首次报告肾动脉瘤是在1770年,Rouppe 报告了一个海员之死,尸检显示其死于肾的假性动脉瘤破裂[17]。肾动脉瘤可以分为肾实质动脉瘤和肾实质外动脉瘤。以前曾经认为肾动脉瘤是非常罕见的,随着CT,MRI和超声的出现,肾动脉瘤被偶然发现的病例越来越多,并不罕见。
过去30年间,肾动脉及其分支的动脉瘤越来越多地受到关注【1~15】。
1. Smith JN, Hinman F Jr. Intrarenal arterial aneurysms. J Urol 1967; 97: 990–996. 2. Cerny JC, Chang CY, Fry WJ. Renal artery aneurysms. Arch Surg 1968; 96: 653–663. 3. Stanley JC, Rhodes EL, Gewertz BL, Chang CY, Walter JF,Fry WS. Renal artery aneurysms. Significance of macroaneurysms exclusive of dissections and fibrodysplastic mural dilatations. Arch Surg 1975; 110: 1327–1333. 4. Goldfarb M, Kase S. Renal microaneurysms and hematuria. Urology 1975; 6: 86–88. 5. Pautasse EF. Renal artery aneurysms. J Urol 1976; 113: 443–449. 6. Hageman JH, Smith RF, Szilaghi DE, Elliott JP. Aneurysm of the renal artery: problems of prognosis and surgical management. Surgery 1978; 84: 563–572. 7. Tham G, Ekelund L, Herrlin K, Lindstedt EL, Olin T, Bergenntz SE. Renal artery aneurysm. Natural history and prognosis. Ann Surg 1983; 197: 348–352. 8. Mercier C, Piquet P, Piligian F, Ferdan M. Aneurysm of the renal artery and its branches. Ann Vasc Surgery 1986; 1: 321–327. 9. Saltiel AA, Matalon TAS, Patel SK. Embolization of a giant renal arterial aneurysm. J Urol 1990; 144: 1227–1228. 10. Novick AC. Renal artery aneurysm. In: Ernst CB, Stanley JC, eds. Current Therapy in Vascular Surgery. Philadelphia: BC Decker, 1991: 880–885. 11. Bulbul MA, Farrow GA. Renal artery aneurysms. Urology 1992; 40: 124–126. 12. Chen R, Novick AC. Retroperitoneal hemorrhage from a rupterd renal artery aneurysm with spontaneous resolution. J Urol 1994; 151:139–141. 13. Lumsden AB, Salam TA, Walton KG. Renal artery aneurysm: a report of 28 cases. Cardiovascular Surgery 1996; 2: 185–189. 14. Seki T, Koyanagi T, Togashi, Chikaraishi T, Tanda K, Kanagawa K. Experience with revascularizing renal artery anurysms: is it feasable, safe and worth attempting? J Urol 1997; 158: 357–362. 15. Henke PK, Cardneau JD, Welling TH et al. Renal artery aneurysm. A 35-year clinical experience with 252 aneurysms in 168 patients. Ann Surg 2001; 4: 454–463. 16. Kawashima A., Sandler C.M., Ernst R.D., et al: CT evaluation of renovascular disease. Radiographics 20. (5): 1321-1340.2000; 17. Rouppe DL. Nova Acta Phys-Med Acad Nat Curios. 1770;iv:76. 18. Seppala FE, Levey J. Renal artery aneurysm: case report of a ruptured calcified renal artery aneurysm. Am Surg. Jan 1982;48(1):42-4. 19. Tham G, Ekelund L, Herrlin K, et al. Renal artery aneurysms. Natural history and prognosis. Ann Surg. Mar 1983;197(3):348-52. 20. Sicard GA, Reilly JM, Rubin BG, et al. Transabdominal versus retroperitoneal incision for abdominal aortic surgery: report of a prospective randomized trial. J Vasc Surg. Feb 1995;21(2):174-81; discussion 181-3.
|



