药物经导管溶栓有什么错?
非要进行血栓机械清除技术!
疗效 - 仅对急性富含纤维蛋白的血栓有效,而胶原蛋白的沉积过程较早就已经开始
资源需求量大——通常需要 48 小时的静脉输注,住院时间较长,且需要密切的监护。
导管直接溶栓与静脉溶栓比较没有显著性差异(ATTACT 临床试验)
出血风险
患者体验
下肢静脉溶栓后肾出血
理想的静脉血栓切除装置
导管装置低剖面(直径小)
需要导管长度能够触及胫静脉,以确保最大范围清除血栓。
胫静脉的最大直径是多少?10 号规格?
适用于所有类型的血栓
急性 / 慢性
低栓塞风险
PE风险最小
灵活性/方向性(in flow clearance)
必须能够通过逆行法清除腘窝或腓肠管内的病变组织。
便宜的
溶栓导管的成本当然要低一些。
血栓清除导管的选择
|
|
|
|
|
吸除
aspiration |
Penumbra Indigo-L12/Flash |
 |
由几个关键部件组成的系统:
抽吸泵(ASPIRATION PUMP):核心主机,能产生并维持稳定的高负压(真空吸力)。
专用导管(CATHEXTRACTOR Catheter):非常细长柔软的管子,头端有一个独特的自膨胀设计的分离器 (Separator)。导管被送到血栓内部。
分离器(SEPARATOR):一个位于导管内的小型金属丝装置,可以前后移动,其作用是物理性地破碎血栓并防止导管头端被大块血栓堵塞,从而保持抽吸通道的持续畅通。
|
|
Inari Flow/Trieriever |
 |
导管的远端有一个可膨胀的球囊,膨胀后可以暂时阻断血流,防止血栓碎片流向远端。
导管尖端部分有多个(通常是三个)可展开的镍钛合金网篮。这些穿过血栓,将其“搅碎”并捕获。
抽吸与清除:在网篮捕获血栓的同时,导管连接一个大型的专用抽吸 syringe(注射器),提供强大的手动抽吸力,将碎裂的血栓吸出体外。
重复操作:医生会多次移动、展开、抽吸,直到清除大部分血栓,恢复肺动脉的血流。
|
机械性
Mechanical |
Inari ClotTriever |
 |
ClotTriever 系统主要由两部分组成:
捕获装置(Coring Elements):一个自膨胀的镍钛合金网状结构,可以轻柔地嵌入并捕获血栓。
抽吸导管(Sheath):一个较大的导管,用于输送捕获装置,并在撤回时提供强大的抽吸力,将捕获的血栓连同导管一起移除。
|
流变性
Rheolytic |
Boston Anguijet-Zelante |
 |
药械结合:它结合了药物(血栓溶解剂)和机械(高速流体)两种方式来清除血栓。工作原理:
药物喷洒阶段:导管头端首先向血栓内部喷洒小剂量的溶栓药物(如组织纤溶酶原激活物 t-PA)。这能“软化”或部分溶解血栓,使其更容易被机械破碎。
抽吸清除阶段:随后,系统启动高速 saline(盐水)射流,在导管头端产生强大的文丘里效应(Venturi Effect),形成一个低压区,将已被破碎和软化的血栓吸入导管并排出体外。
|
超声溶解
Ultasound accelerated |
Boston EKOS |
 |
超声能量:导管尖端会释放低能量、高频 的超声波。这种超声波不会加热或损伤血管,但它有两个关键作用:
松散血栓结构:使紧密的血栓变得“蓬松”,就像用音波震动一块结块的糖,使其 更容易溶解。
开放药物通道:超声波迫使血栓纤维之间的空隙变大,为溶栓药物创造更多的接触面积和渗透通道。
药物输送:导管同时会直接、精准地输送溶栓药物(如tPA)到血栓内部。
|
机械+吸除
mechanical and Aspiration |
BD Aspirax |
 |
该系统通过一个特殊的导管进行操作。导管被引导至血栓堵塞的部位(如下肢深静脉)。
抽吸:导管头端产生强大的负压(吸力),像吸尘器一样将血栓吸住并粉碎。
清除:被粉碎的血栓碎片通过导管腔被同步抽吸到体外的收集袋中。
同步灌注:在抽吸的同时,系统会注入少量的生理盐水,以防止抽吸口被完全堵死,保持流程顺畅。
|

本文报道了一例69岁女性患者因右下肢肿胀两天而就诊的病例。影像学检查显示,患者的深静脉血栓(DVT)从下腔静脉(IVC)延伸至右侧髂股静脉、股静脉(FV)和腘静脉(PV)。文章详细描述了通过双通道方法优化血栓清除的过程,包括手术步骤、使用的设备和技术,以及术后恢复情况。
影像学发现
 |
 |
|
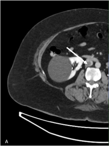
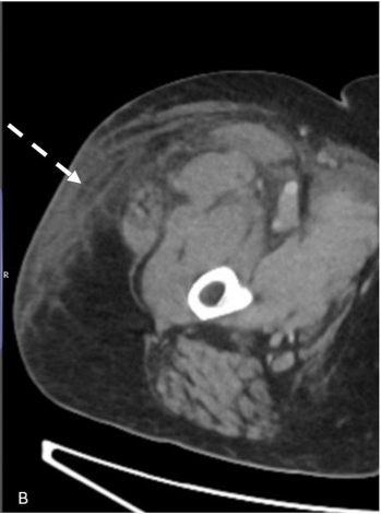
A. CT显示IVC(白色箭头)中血栓的近端范围, |
B. 右下肢浅表水肿(虚线箭头) |
术前低分子肝素,维持活化凝血时间>200秒
全麻下超声引导下,同侧大隐静脉和对侧股静脉插入16F鞘,静脉造影或腔内超声确认血栓范围。
通过同侧大隐静脉顺行血栓清除,使用Lightning Flash,并通过对侧股静脉提供临时下腔静脉栓塞保护。
将对侧CFV鞘推进到右侧髂静脉,同时将同侧鞘收回GSV(同侧大隐静脉)
通过股静脉CFV进行逆行血栓清除,涉及右侧CFV、FV、PFV和PV
14mm直径高压球囊进行血管成形
血管造影评估,顺行血流通畅
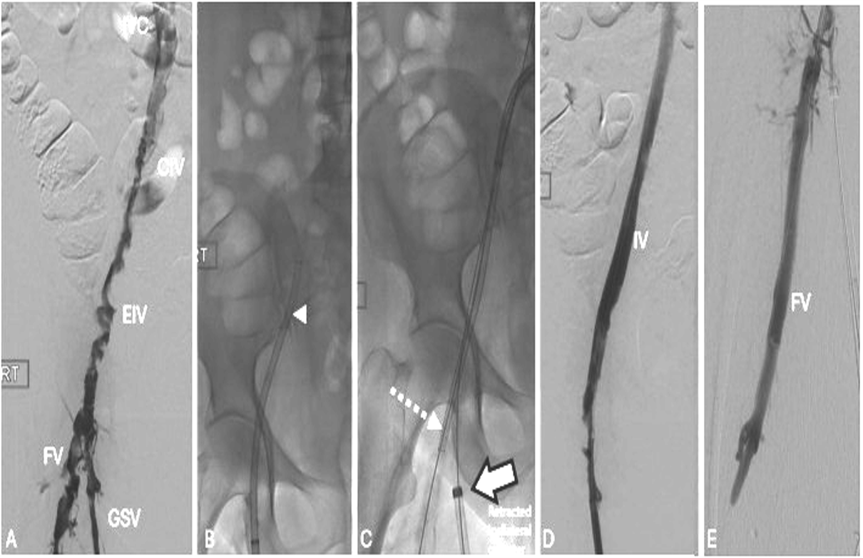
使用右大隐静脉(GSV)和对侧左股静脉(CFV)的右下肢血栓切除术的双入路技术。
右GSV的静脉造影,显示下腔静脉(IVC),右常见静脉(CIV),外部静脉(EIV)和股静脉(FV)中的静脉曲张。 B使用Lightning Flash(箭头)对Iliac静脉和IVC进行依依依团血栓肺。 c使用闪电闪光灯(虚线箭头)和同侧鞘缩回GSV(固体箭头)的逆向对侧护套在流动容器的下游血栓切除术。 D最终静脉曲张,证明了IVC和右静脉的通畅。 e 患者右股静脉
使用左侧大隐静脉(GSV)和对侧右股骨静脉(CFV)的左下肢体血栓切除术的双访问技术(CFV)。

A:静脉造影显示下腔静脉(IVC)、左髂总静脉(CIV)和髂外静脉(EIV)血栓形成。由于阻塞,下腔静脉和近端髂总静脉未显影。对侧入路临时栓塞保护(箭头)。B:从大隐静脉入路使用“闪电闪光”进行髂静脉顺行血栓切除术,显示了梅-瑟纳综合征压迫点(虚线箭头)。C:从大隐静脉入路置入支架。D:从对侧髂总静脉入路使用“闪电闪光”进行股深静脉(PFV)、股静脉(FV)和腘静脉(未显示)的上行-下行逆行血栓切除术,同时将大隐静脉鞘管回撤。最终静脉造影显示流入静脉通畅。
除了静脉,Penumbra Indigo-L12/Flash也可以应用到动脉
PRISM 试验是一项回顾性病例分析,旨在评估基于强力抽吸的 XTRACT 技术(图 下)在治疗外周动脉血栓栓塞症中的初步和次要应用效果(表 1)。在使用 Indigo 系统干预前,患者的血栓溶解心肌梗死(TIMI)评分为 0 或 1 分。
使用 Indigo 系统后,87.2% 的患者实现了 TIMI 2 - 3 级血流,而在处理了潜在病变后,96.2% 的患者实现了 TIMI 2 - 3 级血流。我们还对 12 名房颤患者进行了子集分析。使用 Indigo 系统后立即实现了 TIMI 2 - 3 级血流的患者比例为 83.3%,而在整个手术结束时,这一比例达到了 100%(表 2)。此外,未发生任何与设备相关的不良事件。
该试验表明,XTRACT 技术是一种安全有效的干预手段,适用于所有闭塞情况,即使是在房颤患者中,无论是作为初始治疗还是其他血管内技术失败后的补救措施。

|