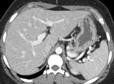
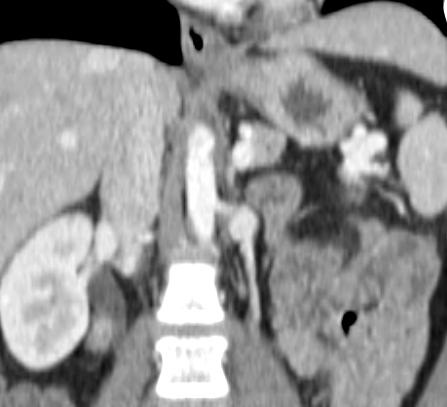
Case 3-F/U
In this retrospective study consisting of three patients, balloon-occluded retrograde transvenous obliteration (BRTO) can be a successful alternative treatment of gastric varices in patients with portal vein thrombosis who are ineligible for TIPS
|







