四、栓塞材料的选择 1. 弹簧栓子 2. 组织胶 3. 鱼肝油酸钠 4. 泡沫硬化剂
泡沫硬化剂的主要优点是可以增加血管内的接触表面和接触时间,需要量小,不遗留异物(如弹簧栓子或血管塞)在体内,不影响未来磁共振检查。
对于高血流量的盆腔充血综合症(Type IIb2),跨盆腔高血流双侧髂内静脉泡沫硬化有一定难度。
5. 血管塞 也有人比较Nester coil(Cook Medical)与Amplatzer vascular plug II (St. Jude Medical)作为盆腔充血综合征治疗的栓子。
显示血管塞和Nester Coil的安全性和效果相同。但血管塞显著减少透视时间和放射剂量。
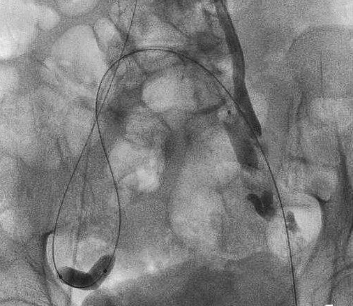
6. 联合应用 导管进入卵巢静脉后注入造影剂,初步估计栓塞所需的硬化剂量。然后将明胶海绵粉和5%鱼肝油酸钠以之前用造影剂估计的体积注射入静脉内。不过,推荐在硬化栓塞过程中,实际注入静脉的明胶海绵/鱼肝油酸钠泥浆的体积比估计体积少1-2cc,以减少混合物返流至中心静脉系统的风险。在5-10分钟后,大约静脉血栓形成的时间,左卵巢静脉主干置入弹簧圈栓塞。栓塞剂的选择还包括单纯选择弹簧栓子[1]、sodium-tetradecyl-sulfate foam (STSF)等[2]。
五、髂内静脉栓塞
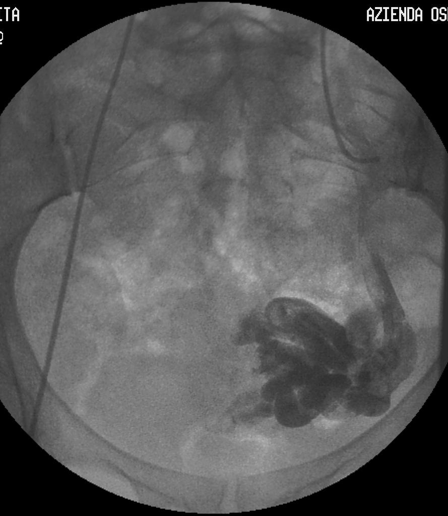
栓塞左右卵巢曲张的静脉后,下面的重点是髂内静脉。有些病人在卵巢静脉栓塞后仍然持续慢性盆腔疼痛,可能由于不常见的侧支循环,栓塞髂内静脉可能有帮助。为了在硬化栓塞治疗髂内静脉曲张时让其完全阻塞,需要使用内径较大的闭塞球囊导管(也许需要直径11.5mm的导管)。向在栓塞卵巢曲张静脉一样,也使用明胶海绵和5%鱼肝油酸钠的混合泥浆。需用明胶海绵/鱼肝油酸钠泥浆的量,仍然用注入使曲张的髂内静脉丛充盈的造影剂的量来估算。同样,要让实际注入栓塞剂(泥浆或者“布丁”)的量比估算量稍小。球囊需要保持扩张大约10分钟以减小盆腔回流静脉血流的稀释作用。髂内静脉支流中很少使用弹簧圈,因为有脱落造成肺循环栓塞的风险。
卵巢和髂内静脉曲张栓塞术可以一次完成也可以分期完成。在某些情况下,例如,病人住得很近,先行经导管左右卵巢静脉栓塞治疗,然后病人用一段时间恢复,再于3-6周后行髂内静脉曲张栓塞治疗。
新技术 1. 直接经皮穿刺(Direct percutaneous puncture) 2. 下肢静脉功能不全联合治疗(Combination therapy for lower extremity venous insufficiency) 3. 一次性治疗(Single procedure) 一次完成卵巢和髂内静脉曲张栓塞(ovarian and internal iliac varices embolized in one setting)
1. Kwon SH, Oh JH, Ko KR, Park HC, Huh JY. Transcatheter ovarian vein embolization using coils for the treatment of pelvic congestion syndrome.Cardiovasc Intervent Radiol. 2007 Jul-Aug;30(4):655-61.
2. Roberto Gandini, Marcello Chiocchi, Daniel Konda, Enrico Pampana, Sebastiano Fabiano Giovanni Simonetti. Transcatheter Foam Sclerotherapy of Symptomatic Female Varicocele with Sodium-Tetradecyl-Sulfate Foam Cardiovasc Intervent Radiol. 2008 Jul-Aug;31(4):778-84.
3. Venbrux AC, Lambert DL. Embolization of the ovarian veins as a treatment for patients with chronic pelvic pain caused by pelvic venous incompetence (pelvic congestion syndrome). Curr Opin Obstet Gynecol 1999; 11:395–399.
4. Ganeshan A, Upponi S, Hon LQ, et al. Chronic pelvic pain due to pelvic congestion syndrome: the role of diagnostic and interventional radiology. Cardiovasc Intervent Radiol 2007; 30:1105–1111. Review describing the role of diagnostic and interventional radiology in the management pain symptoms caused by pelvic congestion syndrome.
三、经股静脉导管术 卵巢静脉选择性造影常经股静脉或者颈内静脉两种途径。股静脉途径往往更常用,主要是由于造影室的设计包括射线增强器放置与病人和监视器放置的相对位置所决定。 1. 左侧卵巢静脉导管术 先放置5-7F的股静脉套管,然后用一根7F的Judkins 钩形状的引导导管(心脏血管内介入)选择左肾静脉。这跟引导导管在前行进入左肾静脉的过程中,可以选择左卵巢静脉的开口。一旦固定好后,在导丝引导下置入一根5 F(1.67mm)外层附有亲水物质的同轴导管,至大约平骶髂关节水平,并且进入盆腔卵巢静脉丛。
2. 右侧卵巢静脉导管术 从下腔静脉找右卵巢静脉,需要选择性置入一个角度更大的钩形引导导管。这种SimmonⅠ型和Ⅱ型导管。仍然用一根5F(1.67mm)外层附有亲水物质的同心导管在上述引导导管中前进。为了能让5 F(1.67mm)的SimmonⅠ型或Ⅱ型导管选择到右卵巢静脉,一般用一根极细的导丝引导一根同心微导管进入右盆腔。进行右侧卵巢静脉造影,然后注射与上述相同的明胶海绵/鱼肝油酸钠混合物,再用栓塞弹簧圈将右卵巢静脉主干闭塞。
|































