肾动脉瘤治疗概论 适应症和禁忌症 术前准备 知情同意书血管内技术 并发症 肾动脉瘤介入治疗小结 肾动脉瘤随访
返回首页

肾动脉瘤的血管内治疗技术(2)

时间:2016-01-03 23:20来源:未知 作者:Mr.Editor
4. 支撑架辅助技术(stent assist coiling) :主要适用于肾动脉瘤颈为宽颈动脉瘤,瘤颈比较小的患者,此种动脉瘤多数为创伤性或感染性动脉瘤。对于瘤颈与载瘤动脉关系不清或不能建立清晰工作位情况下也可考虑进行

 

       4. 支撑架辅助技术(stent assist coiling):主要适用于肾动脉瘤颈为宽颈动脉瘤,瘤颈比较小的患者,此种动脉瘤多数为创伤性或感染性动脉瘤。对于瘤颈与载瘤动脉关系不清或不能建立清晰工作位情况下也可考虑进行支撑架辅助瘤囊内填塞技术。


 

宽颈动脉瘤示意图 支撑架被送至宽颈动脉瘤开口
支撑架释放前先将导管置入动脉瘤囊内 释放支撑架,其两端必需覆盖动脉瘤开口,并将事先置入瘤囊内导管压住
经导管释放弹簧栓子 撤出导管后的情形



   
54岁,女性,提示有肾动脉瘤。尽管动脉造影可能为窄颈动脉瘤,但不能显示清晰的工作位(Working Position)。工作位是指能够清晰显示动脉瘤颈与载瘤动脉的切线位,以便在填塞微弹簧圈的时候可以清晰地观察弹簧圈封堵瘤颈的情况,避免栓塞不足或过度栓塞导致载瘤动脉的闭塞。DSA情况下,如果这种关系为前后或后前位的情况下是不能够被清晰地显示。

 

肾动脉瘤填塞支撑架辅助技术

病例1
微导丝进入动脉瘤颈的远端
设计用于颅内动脉瘤支撑架跨瘤颈放置
支撑架完全释放后显示动脉瘤仍然显影
微导管经支撑架网眼进入动脉瘤内
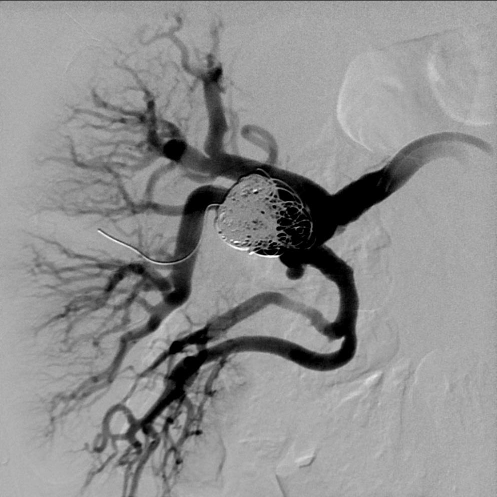
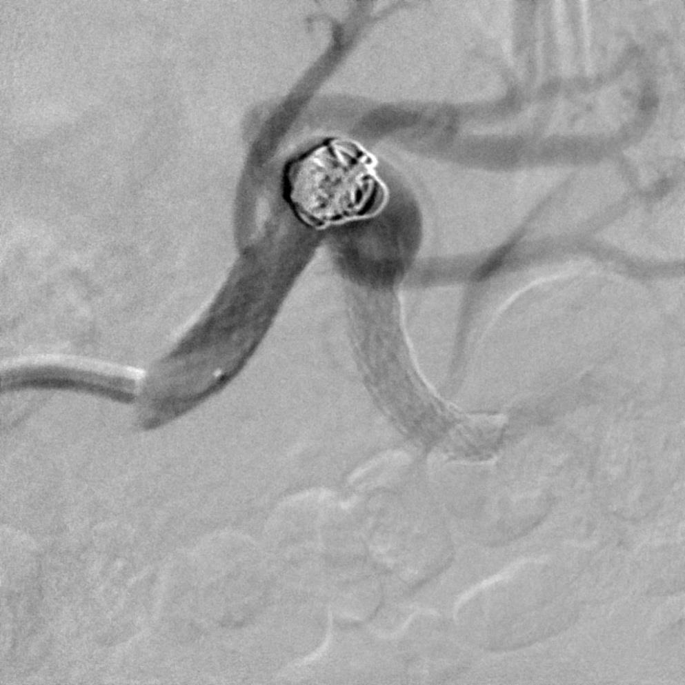
微弹簧栓子栓塞动脉瘤后造影显示,动脉瘤完全填塞,右上极肾动脉开放,实质染色没有充盈缺损。
微弹簧栓子栓塞动脉瘤后造影显示,动脉瘤完全填塞,右上极肾动脉开放,实质染色没有充盈缺损。

病例2
前后位CTA,并没有清晰显示动脉瘤囊的瘤颈 后前位CTA,并没有显示瘤颈
血管造影显示瘤囊,但瘤颈不清楚,似有瘤囊上分支 不能清晰显示瘤颈考虑进行支撑架辅助瘤囊弹簧栓子填塞。支撑架植入后情形
微导管经支撑架网眼进入瘤囊,并造影证实 弹簧栓子开始释放,考虑到瘤囊较大,开始释放弹簧栓子时可以选择较长的弹簧栓子如50cm长
释放弹簧栓子的同时间断造影,以确保弹簧栓子没有进入载瘤动脉 弹簧栓子逸出到载瘤动脉时,可以轻易地回收再重新释放
释放完成后造影显示载瘤动脉远端内血栓。 泵入肝素一天后复查造影,血栓消失。与术前比较少了一支肾后段的动脉。



病例3
CTA提示窄颈动脉瘤,瘤囊上有肾动脉分支 血管造影证实瘤囊上分支
支撑架辅助弹簧栓子瘤囊填塞 最后一枚弹簧栓子逸出支撑架,并收回重新释放
瘤囊填塞后 瘤囊上分支闭塞
术后CT可见弹簧栓子 部分肾梗死
部分肾梗死,但大部分肾实质保留  


病例4(2010)
   
   


病例4(3010)
     

病例4(2010)
   

病例4(2011)
   


病例5
病例5
   
   
   
   






   
   
   
   

What would you do?
 
• Evacuate
• Leave

   
   

顶一下
(3)
100%
踩一下
(0)
0%
------分隔线----------------------------
  • 上一篇:没有了
  • 下一篇:没有了
推荐内容